






Early Detection, Better Decisions, Improved Outcomes
- Our Mission
We want to empower radiologists assisting them in becoming more effective and efficient. We believe in the huge benefit technology can bring to medicine to improve patients’ life quality.

- Problem
Innefficiencies in radiology result in late cancer diagnosis
Globally, the demand for cancer imaging services significantly outstrips supply, leading to unrealistic workloads and time pressure.
5x Increase
In the number of images produced by scan
46% Radiologists
Reporting signs of a burn-out
40m Diagnostic errors
Every year worldwide
- Our Solution
State-of-the-art technology
Integrable
- Integrated into the hospital PACS
- Fully DICOM compliant avoiding HL7 integration
- Instant retrieval and comparison of all previous tests of the patient
Secure
- ISO 13485 certified
- MDR compliant
- GDPR and DICOM compliant
Zero-clicks
- Acting as a digital screening
- Automatic fetching and comparison of past tests
- Fully integrable in the PACS
Clically validated
- 20+ scientific publications (papers/congress)
- Trained with over 300.000 images
- Present in 10+ sites
Meet
Sycai Team
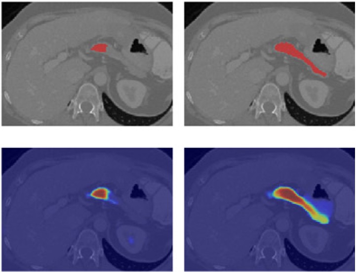
Sycai Medical develops an AI-powered assistant that detects pre-cancerous lesions at a benign stage. It helps radiologists monitor lesions by characterizing them and comparing new images with previous scans to track evolution.
Our Awards











Latest News

Our New Publication: Advancing Reliable AI for Medical Imaging with the CURVAS Challenge

AI for Early Pancreatic Lesion Detection: Highlights from the Congrés de Radiòlegs de Catalunya
